年齢と性別
40代女性
ご相談内容
歯ならびを改善したい 歯周病を治療したい
カウンセリング・診断結果
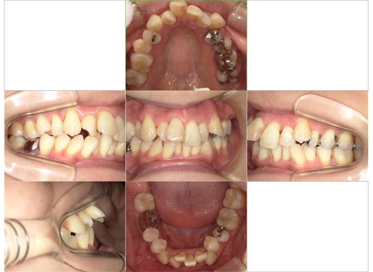
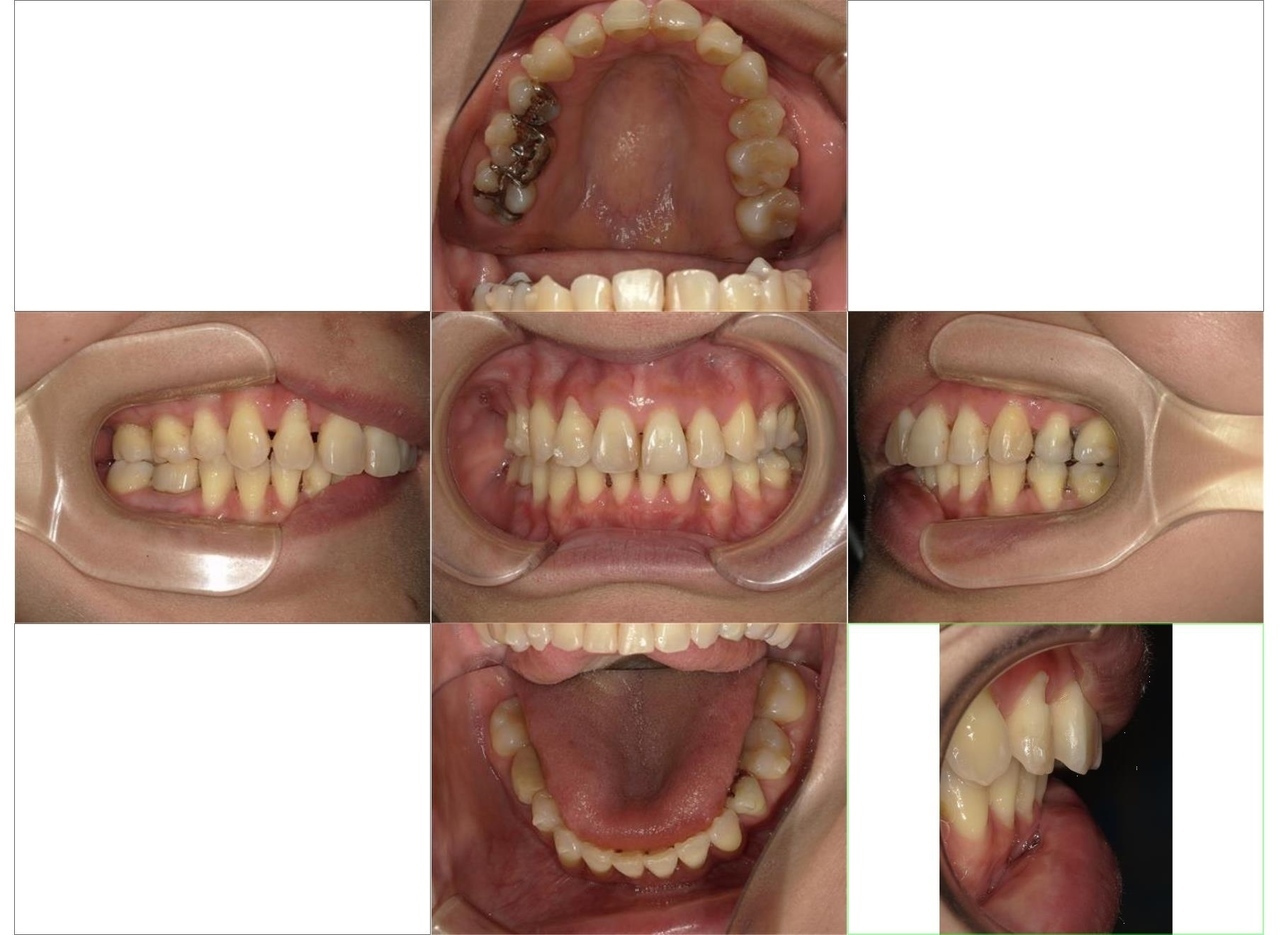
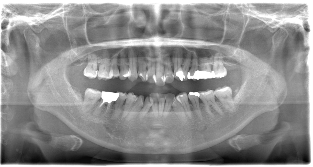
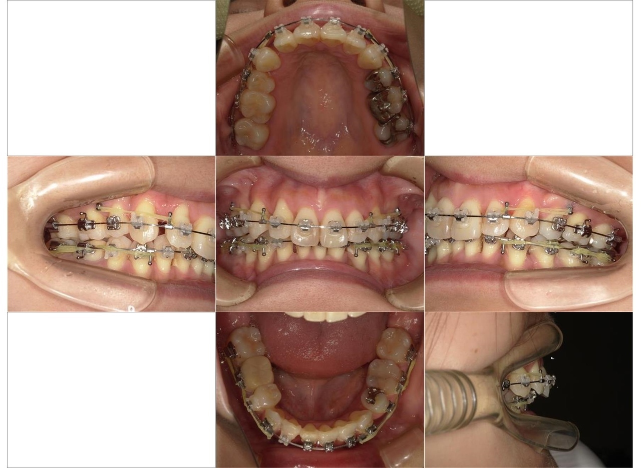
歯ならびの治療を主訴にご来院されました。上顎前歯の突出がみられ、唇が閉じにくく、麺類が食べにくいとのことでした。まず、保険診療で歯周病の治療を行いました。ワイヤー矯正とインビザラインによる矯正治療を説明し、ワイヤー矯正治療を希望されました。まず、歯を並べるためのスペースを確保するため、上顎小臼歯の抜歯を行いました。その後は、レベリング、リトラクション、正中合わせ、コントラクション、アイデアルアーチによる最終調整をしました(専門用語ですみません)術後は、食べ物が食べやすくなったこと、見た目が改善されたことを喜ばれていました。全体的に歯周病の進行が見られるため、今後は歯周病安定期治療による定期的な治療を続けていきます
治療内容
マルチブラケットを用いたワイヤー矯正治療
治療期間
2年
治療費用
¥693.000
術後の経過
現在、矯正治療のメンテナンスに移行し、経過良好
治療のリスク
歯根の吸収など
| 月 | 火 | 水 | 木 | 金 | 土 | 日 | |
|---|---|---|---|---|---|---|---|
| 午前 | ○ | ○ | ○ | ○ | ○ | ▲ | ─ |
| 午後 | ○ | ○ | ○ | ○ | ○ | ▲ | ─ |
午前:9:00~12:30
午後:14:30~18:30
▲:8:45~17:00
休診日:日曜、祝日