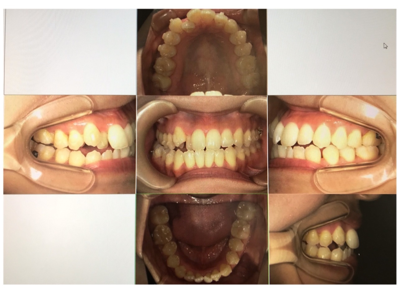
スタッフのインビザラインの経過です!
23枚目に入りました。
奥歯のスペースがとても広がってきました。
一度の食事でかなり食べ物が隙間に入るので、毎食後のブラッシングにはフロスも必需品です。
大変なことは多いですが、きれいな歯並びになるのが楽しみなので頑張ります。
ぜひ一緒にインビザラインを始めてみませんか?
キャンペーンも行っておりますので、お気軽にお問い合わせください。
| 月 | 火 | 水 | 木 | 金 | 土 | 日 | |
|---|---|---|---|---|---|---|---|
| 午前 | ○ | ○ | ○ | ○ | ○ | ▲ | ─ |
| 午後 | ○ | ○ | ○ | ○ | ○ | ▲ | ─ |
午前:9:00~12:30
午後:14:30~18:30
▲:8:30~17:00
休診日:日曜、祝日