熊本市北区で歯科治療を提供する歯医者・歯科医院

〒861-8081 熊本県熊本市北区麻生田2丁目4-20
駐車場10台完備

診療時間
9:00~12:30
14:30~18:30

▲:8:45~17:00

休診日:日曜、祝日

ご予約・お問合せはこちら

096-338-1802

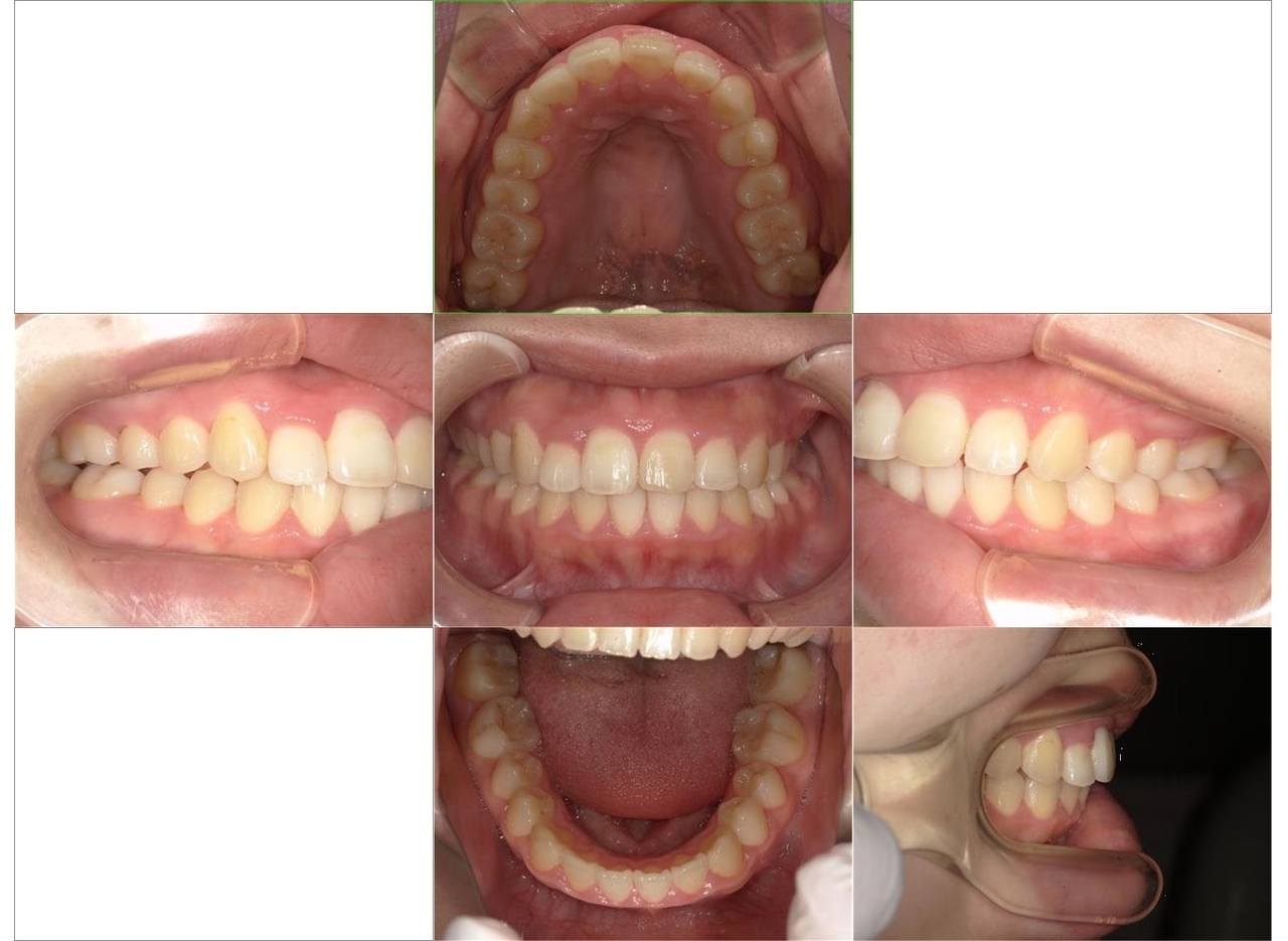
20代女性「ワイヤー矯正治療」を行なった症例 

年齢と性別

20代女性

ご相談内容

歯ならびを改善したい

カウンセリング・診断結果

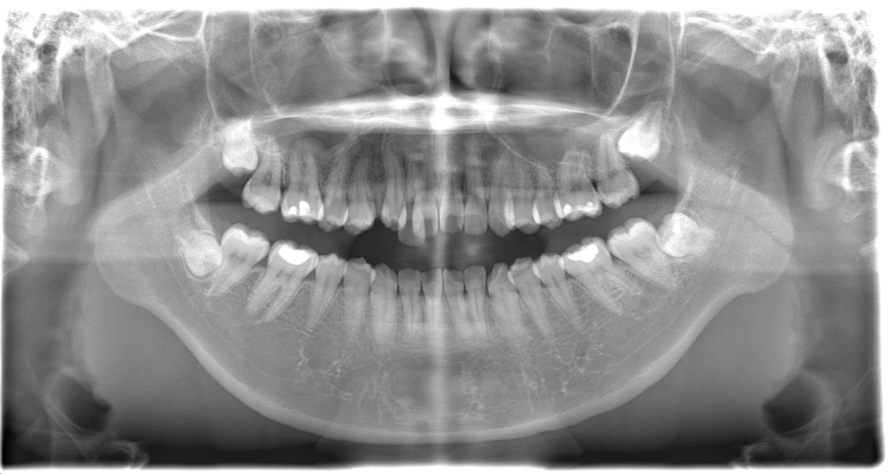
歯ならびの改善を主訴に来院されました。上顎右側に乳歯

(子供の歯)が残存している状態でした。また、下の歯に叢生がありました。患者さんとカウンセリングを行い、マルチブラケット装置によるワイヤー矯正治療を行いました。

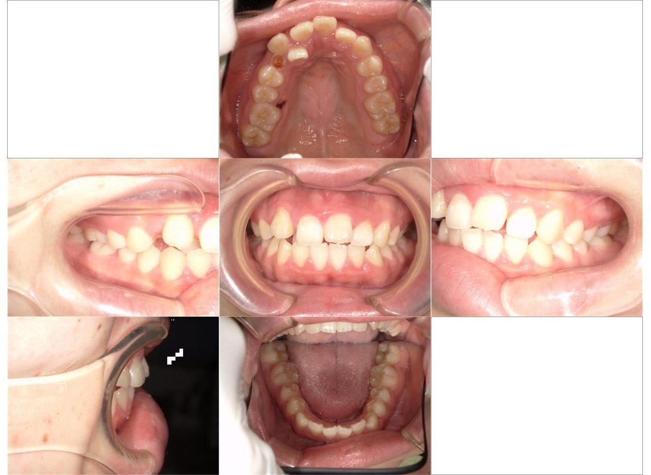
はじめに、乳歯の抜歯を行い、乳歯を抜歯したスペースに永久歯を配列しました。また、舌側に位置していた永久歯も上顎の歯列に配列しました。全体の歯の配列が整ってきたので、顎間ゴムにて咬合の緊密化を行い、矯正治療を終了しました

 

マルチブラケット装置による矯正治療は、歯の三次元的な動きが可能であることから、歯科矯正治療においては、とても効果の高い治療法であると考えています。

治療内容

ワイヤー矯正治療

治療期間

2年

治療費用

¥600.000

術後の経過

現在は、メンテナンス中

治療のリスク

歯の移動に伴う歯根の吸収など

 

 

当日予約可能です。
お気軽にお電話ください

096-338-1802

診療時間

 
午前
午後

午前:9:00~12:30
午後:14:30~18:30
▲:8:45~17:00

休診日:日曜、祝日

096-338-1802

〒861-8081
熊本県熊本市北区麻生田2丁目4-20

熊本電鉄「麻生田小」停留所より徒歩1分
駐車場10台完備